Запишитесь на прием
По телефонам 8 (800) 302-70-42 и +7 (495) 175-20-40 или электронно.На прием возьмите
Выписки, рентгеновские снимки, диски компьютерной томографии и т.д.Оформитесь в регистратуре
Возьмите паспорт, если посещаете нашу клинику впервые.Оплатите консультацию
Консультация и обследование – платные, лечение бесплатно по полису ОМС, ДМС и федеральным квотам.Сдать анализы сразу
Возможно. Приезжайте натощак и не мочитесь за два часа до приема. Кровь принимаем до 11.00.Назначенное обследование
Возможно пройти в нашей клинике по каналу платных медуслуг или бесплатно по месту жительства.Иногородним пациентам
Обследование занимает 2-3 дня, как правило. Клиника не предоставляет проживания. Ближайшие гостиницы Арена, Олимп, Спектр, Золотое кольцо, Azimut отель Смоленская.

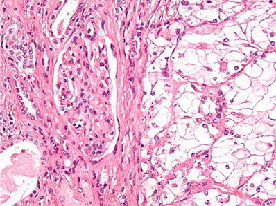
Морфологическое исследование проводится после забора ткани на гистологическое исследование. Это может быть материал, полученный либо в ходе диагностических процедур (например,